Are you suffering from pain or weakness in your shoulder when you lift your arm in a certain way, or perhaps you’re struggling to get a decent night’s sleep, because whenever you roll onto your shoulder, it wakes you up? If so, you might have a tear of your rotator cuff.
The rotator cuff consists of four muscles and their tendons. Their job is to pull the ball part of the shoulder (the head of the humerus), onto the socket (the glenoid). Over time these tendons can wear out and tear. They can also be torn if you injure them in a fall or by lifting something that is too heavy.



Tearing of the rotator cuff tendons is common. As we age, our tendons degenerate and for many people tears of the rotator cuff tendons cause no symptoms at all. But at other times, particularly if a tear has happened in a traumatic way, (for example if you fall whilst skiing or onto an outstretched hand), it can be extremely painful.
You might find that your shoulder feels weak, and you might struggle to lift your arm above your head, fasten your bra, or brush your hair.
Sometimes, if we do a lot of overhead activity, (e.g. if we play a lot of racket sports or use our hand above our heads at work), then the loading and wear on the tendons increases.
You may find your biggest problem is sleeping, or that you keep ‘catching’ your arm with certain movements.
When you come to clinic, I’ll ask you lots of questions about your shoulder including: how long have you had any problems with it?; how did it start and how is the pain impacting your life?
I will then examine your shoulder, neck and back and assess how you are moving.
If necessary, I may ask you to undergo some tests such as an MRI scan or an ultrasound scan.
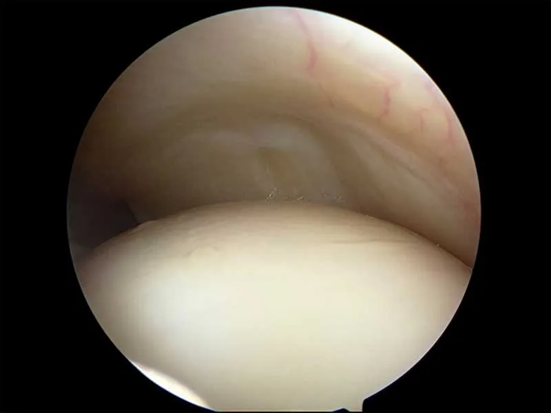
Below are key-hole surgery images inside two different shoulders looking at the smooth cartilage of the humerus (arm bone) below and the rotator cuff tendon above.
Generally speaking, the majority of patients who have rotator cuff tears do well without the need for surgery, and although it may take several months for their pain to settle, most people get there in the end.
I almost always recommend that patients undertake a course of physiotherapy before considering surgery, as this has been shown to be effective in helping to reduce pain and restoring the movement in the shoulder. In certain circumstances a steroid injection can also help.
Sometimes, however, if your shoulder has been traumatically injured in a fall, and you’re very debilitated by it and can’t get on with life as it is, then rotator cuff surgery may be necessary.
Very occasionally some people have a complete rupture of all the rotator cuff tendons, known as a massive cuff tear. This tends to happen in older patients, and it may require very complex surgery, or even a form of shoulder replacement.
In the past we used to repair rotator cuff tears by opening up the shoulder with a large incision but now most of the time this can be done arthroscopically (a.k.a. keyhole surgery).
Image of an anchor in the humerus and a diagram showing how the tendon is then stitched into place and repaired
Rotator cuff repair surgery is a day case procedure, which means you come into hospital and go home on the same day.
The surgery involves a general anaesthetic (so you’ll be asleep) and we also use nerve blocks to numb the pain when you wake up. Your shoulder will be numb, and you won’t be able to move your shoulder, arm and hand for several hours, (the effect can last between 6 and 24 hours). The surgery is carried out through 3 or more very small incisions around the shoulder.
It will take some time for your shoulder to recover and for you to feel the benefits. You are likely to find that your shoulder is really quite sore for the first couple of weeks following surgery, and this is completely normal. Resting it in a sling and using regular pain killers such as paracetamol, plus codeine or tramadol and also NSAIDS like naproxen or ibuprofen is helpful. We will advise you exactly on the right painkiller combination for you before you leave the hospital.
On the day of your surgery, you’ll be started with some gentle exercises by a physiotherapist (such as ‘pendulum’ exercises), and it’s important that you continue your rehab with a physio or osteo when you leave hospital.
When I perform the surgery, I use stitches to close the wound to get a better cosmetic appearance and these need to be removed around two weeks. I will ask that you keep your shoulder dry for the first couple of days, but you can fully shower after that and bathe after 2 weeks.
You’ll probably find that for the first four to six weeks that you’re fairly limited with what you can do with your arm, and it will take until about three months before you can properly load the shoulder.
Most people will probably want to wait between six to eight weeks before they feel confident to drive after the shoulder surgery.
It’s my experience that most people will take somewhere between 9 to 18 months to fully benefit from the results of the surgery.
The success rate for rotator cuff repair surgery is generally good – 90% of people will have an outcome they are happy with. 10% of people may experience a post-operative problem we call frozen shoulder (adhesive capsulitis) This is when the soft tissue surrounding the joint (the capsule) becomes very inflamed and the shoulder movement becomes restricted.
Although this can be unpleasant and an inconvenience, it does settle and only rarely requires further intervention. The good news is, if you were to experience a frozen shoulder after rotator cuff surgery, you’re very likely to make an excellent recovery, because the temporary restriction in the shoulder actually enables the cuff tendons to heal better.

Rotator cuff surgery can be a very helpful procedure for a lot of people who have injured their shoulder traumatically. It may however, not be the best option for these very elderly or for those who have long-standing and widespread involvement of the rotator cuff tendons. In the situations, if you are not responding to therapy or to injections, the next step maybe to consider a reverse geometry shoulder replacement to help with your pain.
I understand how distressing it can be to have shoulder pain, particularly if it’s difficult to sleep at night or it is limiting your activities. If you are concerned about the best way for your shoulder pain to be treated or want relief from your pain do get in touch.




